Co to są implanty?
Implanty to sztuczne urządzenia, które są wszczepiane do ciała pacjenta w celu zastąpienia brakujących struktur anatomicznych lub poprawy funkcji organizmu. W medycynie implanty mogą mieć różne formy, od implantów stomatologicznych, które zastępują utracone zęby, po implanty ortopedyczne, które wspierają uszkodzone stawy czy kości. Proces ich wszczepiania zazwyczaj wymaga precyzyjnego planowania oraz współpracy między lekarzem a pacjentem. Implanty wykonane są z biokompatybilnych materiałów, co oznacza, że nie wywołują reakcji alergicznych ani odrzucenia przez organizm. W przypadku implantów stomatologicznych najpierw wykonuje się zabieg chirurgiczny, podczas którego wszczepia się tytanowy koralik w kość szczęki. Po kilku miesiącach, gdy implant zrośnie się z kością, można na nim umieścić koronę protetyczną.
Jakie są rodzaje implantów stosowanych w medycynie?
W medycynie istnieje wiele rodzajów implantów, które różnią się przeznaczeniem oraz technologią wykonania. Najpopularniejsze z nich to implanty stomatologiczne, ortopedyczne oraz kosmetyczne. Implanty stomatologiczne są stosowane w celu odbudowy brakujących zębów i składają się z tytanowego korzenia oraz widocznej części, która imituje naturalny ząb. Implanty ortopedyczne obejmują szeroki zakres zastosowań, od endoprotez stawowych po śruby i płytki stabilizujące złamania kości. Z kolei implanty kosmetyczne, takie jak te stosowane w chirurgii plastycznej do powiększania piersi czy modelowania ciała, mają na celu poprawę estetyki wyglądu pacjenta. Każdy typ implantu jest projektowany z myślą o specyficznych potrzebach pacjentów oraz warunkach anatomicznych ich ciała.
Jakie są zalety i wady stosowania implantów?

Stosowanie implantów niesie ze sobą wiele korzyści, ale także pewne ryzyka i ograniczenia. Do głównych zalet należy możliwość przywrócenia funkcji anatomicznych oraz estetycznych ciała pacjenta. Implanty stomatologiczne pozwalają na odbudowę uśmiechu oraz poprawę jakości życia poprzez umożliwienie jedzenia i mówienia bez obaw o brakujące zęby. W przypadku implantów ortopedycznych pacjenci często doświadczają znacznej poprawy mobilności oraz redukcji bólu związane z uszkodzeniami stawów. Jednakże istnieją również wady związane z ich stosowaniem. Proces wszczepienia implantu może wiązać się z ryzykiem powikłań, takich jak infekcje czy reakcje alergiczne na materiały użyte do produkcji implantu. Dodatkowo nie każdy pacjent jest odpowiednim kandydatem do zabiegu wszczepienia implantu; czynniki takie jak stan zdrowia ogólny czy choroby przewlekłe mogą wpływać na decyzję lekarza o przeprowadzeniu takiego zabiegu.
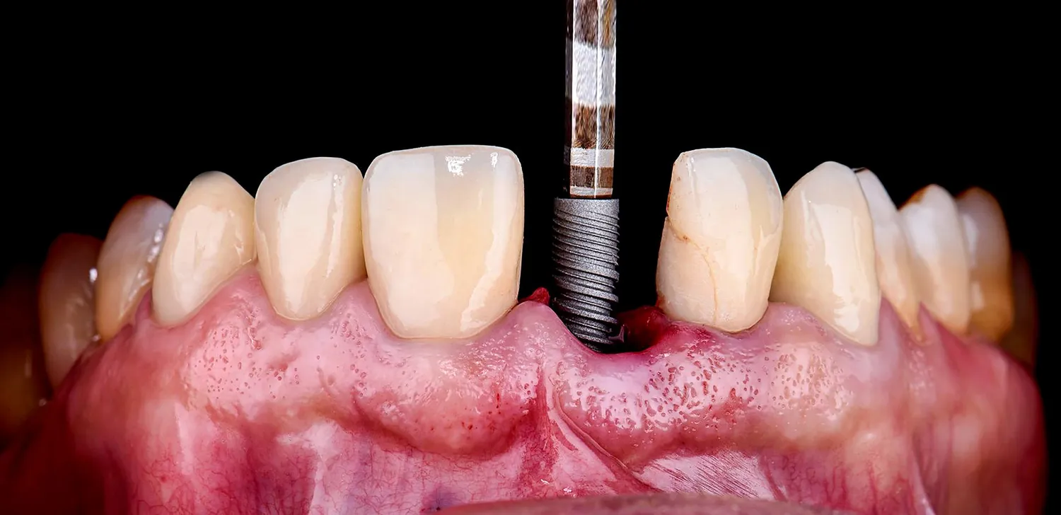
Jak przebiega proces wszczepienia implantu krok po kroku?
Proces wszczepienia implantu składa się z kilku kluczowych etapów, które są starannie zaplanowane przez specjalistów medycznych. Pierwszym krokiem jest konsultacja lekarska, podczas której lekarz ocenia stan zdrowia pacjenta oraz wykonuje niezbędne badania diagnostyczne, takie jak zdjęcia rentgenowskie czy tomografia komputerowa. Na podstawie tych informacji lekarz podejmuje decyzję o rodzaju implantu oraz planuje zabieg chirurgiczny. Kolejnym etapem jest sam zabieg wszczepienia implantu, który zazwyczaj odbywa się w znieczuleniu miejscowym lub ogólnym w zależności od skomplikowania procedury. Po wszczepieniu implantu następuje okres gojenia trwający od kilku tygodni do kilku miesięcy, podczas którego implant integruje się z kością pacjenta. Po zakończeniu tego etapu można przystąpić do kolejnego kroku – wykonania korony protetycznej lub innego elementu uzupełniającego.
Jakie są najczęstsze pytania dotyczące implantów?
Wielu pacjentów ma liczne pytania dotyczące implantów, które są kluczowe dla ich zrozumienia i podjęcia decyzji o zabiegu. Jednym z najczęściej zadawanych pytań jest to, jak długo trwa proces gojenia po wszczepieniu implantu. Czas ten może się różnić w zależności od rodzaju implantu oraz indywidualnych cech organizmu pacjenta, ale zazwyczaj wynosi od kilku tygodni do kilku miesięcy. Innym istotnym zagadnieniem jest to, czy implanty są bolesne. W trakcie zabiegu pacjent jest znieczulony, co minimalizuje ból, a po operacji mogą wystąpić jedynie niewielkie dolegliwości bólowe, które można złagodzić środkami przeciwbólowymi. Pacjenci często pytają również o koszty związane z wszczepieniem implantów. Ceny mogą się znacznie różnić w zależności od lokalizacji, rodzaju implantu oraz doświadczenia lekarza. Warto również zwrócić uwagę na to, że niektóre ubezpieczenia zdrowotne mogą pokrywać część kosztów związanych z zabiegiem.
Jak dbać o implanty po ich wszczepieniu?
Prawidłowa pielęgnacja implantów po ich wszczepieniu jest kluczowa dla zapewnienia ich długowieczności oraz funkcjonalności. W przypadku implantów stomatologicznych zaleca się regularne szczotkowanie zębów oraz nitkowanie, aby zapobiec gromadzeniu się płytki nazębnej wokół implantu. Należy także regularnie odwiedzać dentystę na kontrole i profesjonalne czyszczenie, co pozwala na wczesne wykrycie ewentualnych problemów. W przypadku implantów ortopedycznych ważne jest przestrzeganie zaleceń lekarza dotyczących rehabilitacji oraz unikanie nadmiernego obciążania stawu w początkowym okresie po operacji. Pacjenci powinni również stosować się do wskazówek dotyczących aktywności fizycznej i unikać intensywnego wysiłku przez określony czas. Oprócz tego istotne jest monitorowanie stanu zdrowia ogólnego oraz zgłaszanie lekarzowi wszelkich niepokojących objawów, takich jak ból czy obrzęk w okolicy implantu.
Jakie są nowoczesne technologie w dziedzinie implantologii?
Implantologia stale się rozwija dzięki nowoczesnym technologiom, które poprawiają skuteczność oraz bezpieczeństwo zabiegów wszczepienia implantów. Jednym z przełomowych osiągnięć jest zastosowanie technologii CAD/CAM, która umożliwia precyzyjne projektowanie i produkcję indywidualnych elementów protetycznych na podstawie cyfrowych modeli 3D jamy ustnej pacjenta. Dzięki temu możliwe jest uzyskanie idealnego dopasowania korony do implantu oraz lepszej estetyki uśmiechu. Kolejnym innowacyjnym rozwiązaniem są implanty z powłokami bioaktywnymi, które wspierają proces integracji implantu z kością oraz przyspieszają gojenie. W ostatnich latach coraz większą popularność zdobywają także techniki minimalnie inwazyjne, które pozwalają na wykonanie zabiegów przy mniejszym urazie tkanek miękkich i krótszym czasie rekonwalescencji. Dodatkowo rozwijają się metody obrazowania medycznego, takie jak tomografia komputerowa czy skanowanie 3D, które pozwalają na dokładniejsze planowanie zabiegów oraz przewidywanie ewentualnych komplikacji.
Jakie są alternatywy dla implantów w stomatologii?
Choć implanty stomatologiczne są jedną z najbardziej popularnych opcji odbudowy brakujących zębów, istnieją także inne metody leczenia, które mogą być odpowiednie dla niektórych pacjentów. Jedną z alternatyw są mosty protetyczne, które składają się z dwóch koron umieszczonych na zdrowych zębach po obu stronach luki oraz sztucznego zęba pomiędzy nimi. Mosty są mniej inwazyjne niż implanty i mogą być stosowane w przypadkach, gdy brakuje jednego lub dwóch zębów. Inną opcją są protezy ruchome, które mogą być całkowite lub częściowe i służą do zastąpienia większej liczby brakujących zębów. Protezy są tańsze niż implanty i łatwiejsze do wykonania, ale mogą wymagać częstszej wymiany oraz dostosowywania w miarę upływu czasu. Warto również wspomnieć o metodzie regeneracji kości, która może być stosowana przed wszczepieniem implantu u pacjentów z niedoborem tkanki kostnej; polega ona na stymulowaniu wzrostu nowej kości w miejscu brakującym.
Jak wygląda przyszłość implantologii w medycynie?
Przyszłość implantologii zapowiada się niezwykle obiecująco dzięki dynamicznemu rozwojowi technologii oraz badań naukowych w tej dziedzinie. W najbliższych latach możemy spodziewać się dalszego postępu w zakresie biokompatybilnych materiałów stosowanych do produkcji implantów, co pozwoli na jeszcze lepszą integrację z tkankami pacjenta oraz zmniejszenie ryzyka powikłań. Również rozwój technologii druku 3D otwiera nowe możliwości w zakresie personalizacji implantów; dzięki tej technologii możliwe będzie tworzenie indywidualnych rozwiązań dostosowanych do specyficznych potrzeb każdego pacjenta. Zastosowanie sztucznej inteligencji w diagnostyce i planowaniu zabiegów może przyspieszyć proces podejmowania decyzji oraz zwiększyć precyzję wykonywanych procedur chirurgicznych. Ponadto badania nad komórkami macierzystymi mogą prowadzić do opracowania nowych metod regeneracji tkanek kostnych i miękkich wokół implantów, co znacznie poprawi wyniki leczenia.
Jakie są najnowsze badania dotyczące implantów?
W ostatnich latach prowadzone są liczne badania naukowe mające na celu poprawę efektywności oraz bezpieczeństwa implantów. Jednym z obszarów badań jest analiza długoterminowej trwałości implantów stomatologicznych i ortopedycznych, co pozwala na lepsze zrozumienie czynników wpływających na ich sukces oraz ewentualne powikłania. Naukowcy badają również wpływ różnych materiałów używanych do produkcji implantów, takich jak tytan, ceramika czy kompozyty, aby znaleźć najbardziej optymalne rozwiązania. Inne badania koncentrują się na technikach regeneracji kości, które mogą wspierać proces gojenia po wszczepieniu implantu. Wykorzystanie komórek macierzystych oraz biomateriałów staje się coraz bardziej popularne w kontekście wspomagania wzrostu tkanki kostnej wokół implantów. Ponadto, rozwijają się badania nad zastosowaniem nanotechnologii w implantologii, co może przyczynić się do zwiększenia biokompatybilności oraz odporności na infekcje.



