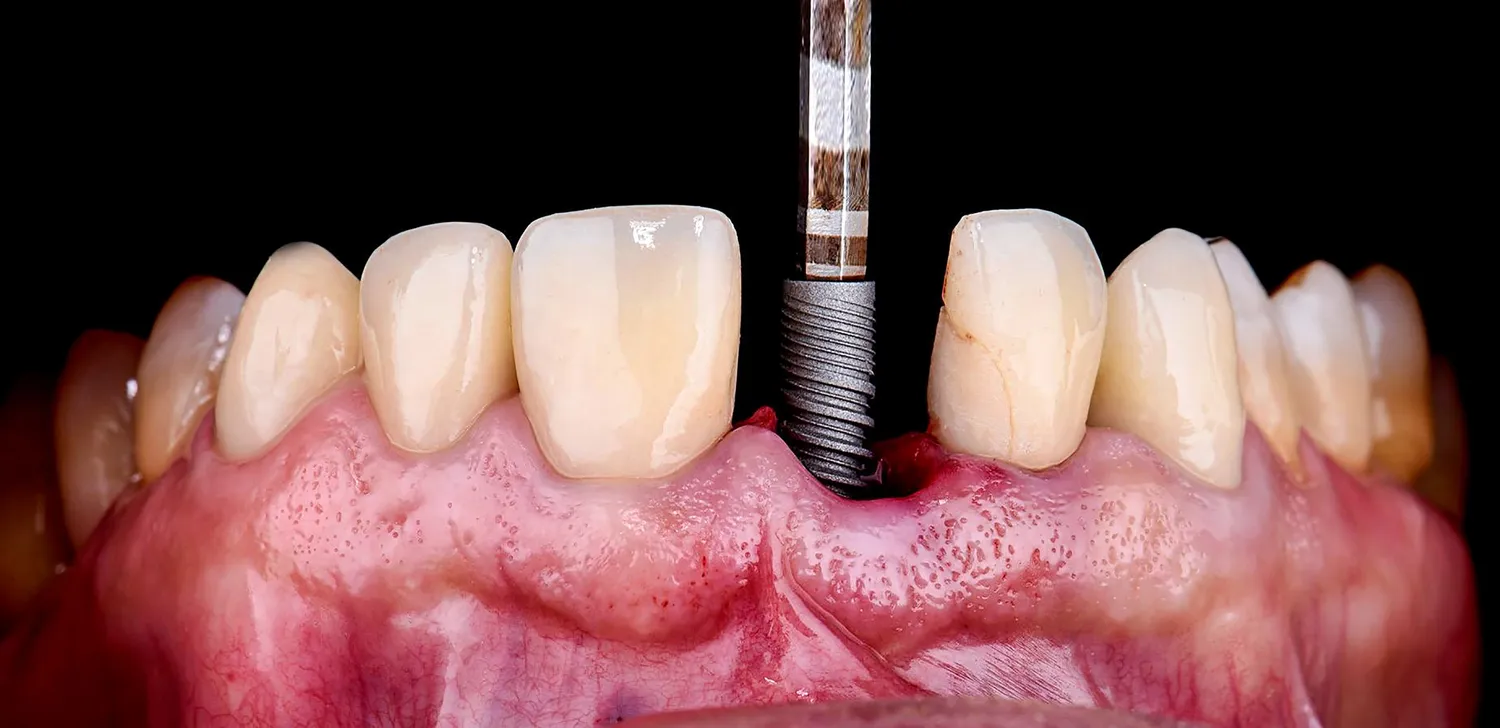
Implanty w jeden dzień Police
Implanty w jeden dzień w Police to rozwiązanie, które zyskuje coraz większą popularność wśród pacjentów poszukujących szybkiego i efektywnego sposobu na odbudowę uzębienia. Jedną z głównych zalet tego typu zabiegu jest znaczna oszczędność czasu. W tradycyjnych metodach pacjenci musieli czekać tygodnie lub nawet miesiące na zakończenie całego procesu, co wiązało się z wieloma wizytami u stomatologa. Dzięki technologii implantów w jeden dzień możliwe jest przeprowadzenie całej procedury w ciągu jednej wizyty, co jest niezwykle wygodne dla osób prowadzących intensywny tryb życia. Kolejną korzyścią jest minimalizacja dyskomfortu. Pacjenci często obawiają się bólu i nieprzyjemnych odczuć związanych z zabiegami stomatologicznymi, jednak nowoczesne metody znieczulenia oraz techniki chirurgiczne pozwalają na przeprowadzenie całej procedury w komfortowych warunkach. Dodatkowo, implanty w jeden dzień oferują natychmiastowe efekty estetyczne, co sprawia, że pacjenci mogą cieszyć się nowym uśmiechem od razu po zakończeniu zabiegu.
Jak przebiega proces zakupu implantów w jeden dzień w Police
Proces zakupu implantów w jeden dzień w Police zaczyna się od konsultacji ze specjalistą, który oceni stan zdrowia pacjenta oraz potrzeby związane z odbudową uzębienia. Na tym etapie lekarz przeprowadza szczegółowy wywiad medyczny oraz wykonuje niezbędne badania diagnostyczne, takie jak zdjęcia rentgenowskie czy tomografia komputerowa. Dzięki tym informacjom można dokładnie zaplanować cały proces oraz dobrać odpowiednie implanty do indywidualnych potrzeb pacjenta. Po ustaleniu planu działania następuje etap przygotowania do zabiegu. W przypadku konieczności usunięcia zębów lub przeprowadzenia innych procedur stomatologicznych, są one realizowane przed właściwym wszczepieniem implantów. W dniu zabiegu pacjent otrzymuje znieczulenie miejscowe, a następnie lekarz przystępuje do wszczepienia implantów. Cały proces jest zazwyczaj szybki i trwa kilka godzin, a pacjent może wrócić do domu jeszcze tego samego dnia.
Czy implanty w jeden dzień są bezpieczne dla pacjentów

Bezpieczeństwo implantów w jeden dzień w Police to kwestia, która budzi wiele pytań i obaw u potencjalnych pacjentów. Warto podkreślić, że nowoczesne technologie oraz materiały stosowane do produkcji implantów są bardzo zaawansowane i spełniają najwyższe standardy jakościowe. Implanty wykonane są zazwyczaj z tytanu, który jest biokompatybilny i dobrze tolerowany przez organizm ludzki. Proces ich wszczepienia odbywa się pod kontrolą doświadczonych specjalistów, którzy stosują odpowiednie techniki chirurgiczne minimalizujące ryzyko powikłań. Oczywiście jak każdy zabieg medyczny, także wszczepienie implantów wiąże się z pewnym ryzykiem, jednak przy zachowaniu odpowiednich środków ostrożności oraz przestrzeganiu zaleceń lekarza po zabiegu, ryzyko to jest minimalizowane. Pacjenci powinni również pamiętać o regularnych wizytach kontrolnych oraz dbaniu o higienę jamy ustnej, co ma kluczowe znaczenie dla długotrwałego sukcesu leczenia.
Jakie są koszty związane z implantami w jeden dzień w Police
Koszty związane z implantami w jeden dzień w Police mogą się różnić w zależności od wielu czynników, takich jak lokalizacja kliniki, doświadczenie specjalisty czy zastosowane materiały. Zazwyczaj ceny wahają się od kilku do kilkunastu tysięcy złotych za pojedynczy implant, co może być dużym wydatkiem dla wielu pacjentów. Warto jednak pamiętać, że inwestycja ta przekłada się na długotrwałe efekty estetyczne oraz poprawę komfortu życia. Wiele klinik oferuje różne formy finansowania zabiegów, takie jak raty czy kredyty medyczne, co może ułatwić pokrycie kosztów leczenia. Dodatkowo warto zwrócić uwagę na pakiety promocyjne czy rabaty dostępne dla nowych pacjentów lub przy większej liczbie wszczepianych implantów.
Jakie są opinie pacjentów na temat implantów w jeden dzień w Police
Opinie pacjentów na temat implantów w jeden dzień w Police są zróżnicowane, jednak wiele osób podkreśla pozytywne aspekty tego rozwiązania. Pacjenci często chwalą sobie krótki czas oczekiwania na nowy uśmiech oraz wygodę, jaką niesie ze sobą możliwość przeprowadzenia całego zabiegu w jednym dniu. Wiele osób zaznacza, że dzięki tej metodzie uniknęli długotrwałego procesu leczenia, który wiązałby się z wieloma wizytami u stomatologa. Dodatkowo pacjenci doceniają estetykę uzyskanych efektów, ponieważ implanty wyglądają bardzo naturalnie i pozwalają na przywrócenie pełnej funkcjonalności zębów. Niektórzy pacjenci zwracają uwagę na komfort psychiczny związany z szybkim uzyskaniem nowego uśmiechu, co wpływa na ich pewność siebie i jakość życia. Oczywiście, jak w przypadku każdego zabiegu medycznego, zdarzają się również negatywne opinie. Niektórzy pacjenci skarżą się na ból po zabiegu lub problemy z gojeniem się ran.
Jakie są najczęstsze pytania dotyczące implantów w jeden dzień w Police
Wielu pacjentów ma liczne pytania dotyczące implantów w jeden dzień w Police, co świadczy o ich rosnącym zainteresowaniu tym tematem. Jednym z najczęściej zadawanych pytań jest to, czy zabieg jest bolesny. Warto zaznaczyć, że dzięki nowoczesnym metodom znieczulenia większość pacjentów nie odczuwa bólu podczas wszczepienia implantów. Kolejnym istotnym pytaniem jest czas gojenia oraz integracji implantu z kością. Choć proces ten może różnić się w zależności od indywidualnych predyspozycji pacjenta, zazwyczaj trwa kilka miesięcy. Pacjenci często zastanawiają się także nad trwałością implantów oraz ich pielęgnacją po zabiegu. Implanty wykonane z wysokiej jakości materiałów mogą służyć przez wiele lat, a ich pielęgnacja nie różni się znacząco od dbania o naturalne zęby. Ważne jest regularne szczotkowanie oraz wizyty kontrolne u stomatologa. Inne pytanie dotyczy kosztów związanych z zabiegiem oraz możliwości finansowania. Wiele klinik oferuje różnorodne opcje płatności, co może ułatwić pokrycie wydatków związanych z leczeniem.
Jak przygotować się do zabiegu wszczepienia implantów w jeden dzień w Police
Przygotowanie do zabiegu wszczepienia implantów w jeden dzień w Police jest kluczowe dla zapewnienia jego sukcesu oraz minimalizacji ryzyka powikłań. Pierwszym krokiem jest umówienie się na konsultację ze specjalistą, który oceni stan zdrowia jamy ustnej oraz przeprowadzi niezbędne badania diagnostyczne. Na tym etapie lekarz powinien również omówić z pacjentem wszystkie aspekty związane z zabiegiem oraz odpowiedzieć na pojawiające się pytania. Ważne jest także poinformowanie lekarza o wszystkich przyjmowanych lekach oraz chorobach przewlekłych, które mogą wpłynąć na przebieg zabiegu. Przed dniem operacji warto zadbać o odpowiednią higienę jamy ustnej oraz unikać spożywania alkoholu i palenia papierosów, ponieważ mogą one negatywnie wpłynąć na proces gojenia się ran. Pacjenci powinni również przygotować się psychicznie na zabieg i postarać się być jak najbardziej zrelaksowani. W dniu operacji warto przybyć do kliniki w towarzystwie bliskiej osoby, która pomoże w powrocie do domu po zakończeniu procedury.
Jak dbać o implanty po wszczepieniu w jeden dzień w Police
Dbanie o implanty po wszczepieniu w jeden dzień w Police jest kluczowe dla zapewnienia ich długotrwałej funkcjonalności oraz estetyki. Po zakończeniu zabiegu lekarz udziela szczegółowych wskazówek dotyczących pielęgnacji jamy ustnej oraz postępowania pooperacyjnego. Przede wszystkim ważne jest zachowanie odpowiedniej higieny jamy ustnej poprzez regularne szczotkowanie zębów oraz nitkowanie przestrzeni międzyzębowych. Pacjenci powinni stosować miękką szczoteczkę do zębów oraz unikać agresywnego szczotkowania okolic implantu przez pierwsze tygodnie po zabiegu, aby nie podrażnić tkanek wokół implantu. Rekomendowane jest także stosowanie płynów do płukania jamy ustnej bezalkoholowych, które pomogą utrzymać świeżość i czystość jamy ustnej. Ponadto pacjenci powinni unikać twardych pokarmów oraz tych, które mogą powodować podrażnienia przez kilka pierwszych dni po wszczepieniu implantu. Regularne wizyty kontrolne u stomatologa są niezwykle istotne dla monitorowania procesu gojenia oraz integracji implantu z kością.
Jak długo trwa proces gojenia po wszczepieniu implantów w jeden dzień
Proces gojenia po wszczepieniu implantów w jeden dzień może różnić się w zależności od indywidualnych predyspozycji pacjenta oraz stanu zdrowia jamy ustnej przed zabiegiem. Zazwyczaj pierwsze etapy gojenia trwają od kilku dni do kilku tygodni, kiedy to tkanki miękkie wokół implantu zaczynają się regenerować i zamykają ranę pooperacyjną. W tym czasie ważne jest przestrzeganie zaleceń lekarza dotyczących diety oraz higieny jamy ustnej, aby wspierać proces gojenia i minimalizować ryzyko infekcji. Integracja implantu z kością to kolejny kluczowy etap procesu gojenia, który może trwać od trzech do sześciu miesięcy lub dłużej, zależnie od indywidualnych warunków anatomicznych pacjenta oraz jakości kości szczęki lub żuchwy. W przypadku osób palących lub cierpiących na choroby przewlekłe czas ten może być wydłużony ze względu na gorszą regenerację tkanek i zwiększone ryzyko powikłań.
Czy każdy może skorzystać z implantów w jeden dzień w Police
Implanty w jeden dzień w Police są rozwiązaniem dostępnym dla wielu pacjentów, jednak nie każdy może skorzystać z tej metody odbudowy uzębienia. Kluczowym czynnikiem decydującym o możliwości przeprowadzenia zabiegu jest stan zdrowia jamy ustnej oraz ogólny stan zdrowia pacjenta. Osoby cierpiące na choroby przyzębia lub inne schorzenia stomatologiczne mogą wymagać wcześniejszego leczenia przed przystąpieniem do wszczepienia implantów. Ponadto ważna jest jakość kości szczęki lub żuchwy; jeśli kość jest niewystarczająca do osadzenia implantu, konieczne może być przeprowadzenie dodatkowych procedur chirurgicznych, takich jak augmentacja kości czy sinus lift. Osoby palące lub cierpiące na choroby przewlekłe powinny być świadome potencjalnych ryzyk związanych z zabiegiem i konsultować swoje plany ze specjalistą przed podjęciem decyzji o leczeniu.




