Implanty zębowe Warszawa
Implanty zębowe w Warszawie cieszą się coraz większą popularnością, a ich korzyści są nie do przecenienia. Przede wszystkim, implanty pozwalają na przywrócenie pełnej funkcjonalności uzębienia, co ma kluczowe znaczenie dla komfortu życia pacjentów. Dzięki nim można swobodnie jeść, mówić oraz uśmiechać się bez obaw o estetykę. Kolejną zaletą jest ich trwałość. W przeciwieństwie do tradycyjnych protez, które mogą wymagać częstej wymiany, implanty są wykonane z materiałów odpornych na korozję i uszkodzenia, co sprawia, że mogą służyć przez wiele lat. Dodatkowo, implanty wspierają zdrowie kości szczęki, zapobiegając ich zanikanie, co jest szczególnie istotne w przypadku utraty zębów. W Warszawie wiele klinik oferuje nowoczesne technologie oraz indywidualne podejście do pacjenta, co zwiększa szanse na sukces zabiegu.
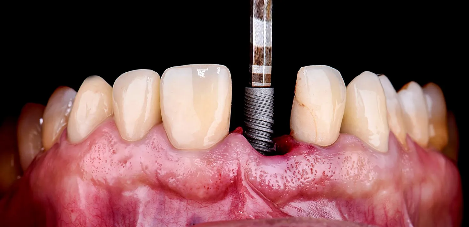
Jak wygląda proces zakupu implantów zębowych w Warszawie
Zakup implantów zębowych w Warszawie to proces składający się z kilku kluczowych etapów, które mają na celu zapewnienie pacjentowi jak najlepszych rezultatów. Pierwszym krokiem jest konsultacja stomatologiczna, podczas której lekarz ocenia stan uzębienia oraz ogólny stan zdrowia pacjenta. Na podstawie przeprowadzonych badań diagnostycznych, takich jak zdjęcia rentgenowskie czy tomografia komputerowa, lekarz podejmuje decyzję o możliwości wszczepienia implantu. Następnie pacjent otrzymuje szczegółowe informacje dotyczące samego zabiegu oraz jego kosztów. Kolejnym etapem jest przygotowanie do zabiegu, które może obejmować leczenie kanałowe lub usunięcie resztek zębów. Po przygotowaniach następuje właściwy zabieg wszczepienia implantu, który zazwyczaj trwa od jednej do dwóch godzin. Po zabiegu pacjent powinien przestrzegać zaleceń lekarza dotyczących pielęgnacji jamy ustnej oraz diety, aby zapewnić prawidłowe gojenie się tkanek.
Jakie są najczęstsze pytania dotyczące implantów zębowych w Warszawie

Wielu pacjentów zastanawia się nad różnymi aspektami związanymi z implantami zębowymi w Warszawie i często pojawiają się pytania dotyczące tego tematu. Jednym z najczęściej zadawanych pytań jest to, jak długo trwa cały proces leczenia i kiedy można oczekiwać efektów końcowych. Zazwyczaj czas ten wynosi od kilku miesięcy do roku, w zależności od indywidualnych warunków anatomicznych pacjenta oraz ewentualnych dodatkowych zabiegów. Innym istotnym pytaniem jest kwestia kosztów związanych z wszczepieniem implantów. Ceny mogą się znacznie różnić w zależności od wybranej kliniki oraz użytych materiałów, dlatego warto porównywać oferty różnych placówek. Pacjenci często interesują się także tym, czy zabieg jest bolesny i jakie metody znieczulenia są stosowane. Nowoczesne techniki chirurgiczne oraz skuteczne znieczulenie sprawiają, że większość osób nie odczuwa bólu podczas zabiegu ani po nim.
Gdzie znaleźć najlepsze kliniki oferujące implanty zębowe w Warszawie
Wybór odpowiedniej kliniki stomatologicznej oferującej implanty zębowe w Warszawie może być kluczowy dla sukcesu całego procesu leczenia. Istnieje wiele placówek specjalizujących się w tej dziedzinie, dlatego warto zwrócić uwagę na kilka istotnych czynników przy podejmowaniu decyzji. Po pierwsze, warto poszukać klinik posiadających pozytywne opinie pacjentów oraz rekomendacje od znajomych lub rodziny. Internet to doskonałe źródło informacji – portale społecznościowe oraz fora dyskusyjne mogą dostarczyć cennych wskazówek na temat jakości usług oferowanych przez konkretne placówki. Kolejnym aspektem jest doświadczenie lekarzy prowadzących zabieg – im większa liczba przeprowadzonych operacji tym lepiej dla pacjenta. Ważne jest również zapoznanie się z wyposażeniem kliniki oraz stosowanymi technologiami – nowoczesne urządzenia medyczne mogą znacząco wpłynąć na jakość leczenia i komfort pacjenta.
Jakie są najnowsze technologie w implantologii stomatologicznej w Warszawie
W ostatnich latach implantologia stomatologiczna w Warszawie zyskała na znaczeniu dzięki wprowadzeniu nowoczesnych technologii, które znacznie poprawiają jakość leczenia oraz komfort pacjentów. Jednym z najważniejszych osiągnięć jest zastosowanie cyfrowego planowania zabiegów, które pozwala na precyzyjne zaplanowanie lokalizacji implantu oraz dostosowanie go do indywidualnych warunków anatomicznych pacjenta. Dzięki temu lekarze mogą minimalizować ryzyko powikłań oraz zwiększać skuteczność zabiegu. Kolejną innowacją jest wykorzystanie materiałów biokompatybilnych, które wspierają proces gojenia i integracji implantu z kością. W Warszawie wiele klinik korzysta także z technologii CAD/CAM, co pozwala na szybkie i precyzyjne wykonanie koron protetycznych, które są idealnie dopasowane do implantu oraz naturalnych zębów pacjenta. Dodatkowo, coraz częściej stosuje się techniki regeneracji kości, takie jak przeszczepy kostne czy zastosowanie membran, co umożliwia wszczepienie implantów nawet w trudnych przypadkach, gdzie wcześniej nie było to możliwe.
Jakie są przeciwwskazania do wszczepienia implantów zębowych w Warszawie
Decyzja o wszczepieniu implantów zębowych w Warszawie nie zawsze jest prosta, ponieważ istnieją pewne przeciwwskazania, które mogą uniemożliwić przeprowadzenie tego zabiegu. Przede wszystkim, jednym z głównych czynników jest stan zdrowia pacjenta. Osoby cierpiące na choroby ogólnoustrojowe, takie jak cukrzyca czy choroby serca, powinny być szczególnie ostrożne i skonsultować się z lekarzem przed podjęciem decyzji o wszczepieniu implantu. Ponadto, palenie papierosów może negatywnie wpływać na proces gojenia i zwiększać ryzyko powikłań pooperacyjnych. Inne przeciwwskazania to niewystarczająca ilość tkanki kostnej w miejscu planowanego wszczepienia implantu oraz aktywne infekcje w jamie ustnej. W takich przypadkach lekarz może zalecić dodatkowe zabiegi, takie jak przeszczepy kostne lub leczenie stomatologiczne, aby przygotować pacjenta do wszczepienia implantu.
Jak dbać o implanty zębowe po ich wszczepieniu w Warszawie
Prawidłowa pielęgnacja implantów zębowych po ich wszczepieniu jest kluczowa dla zapewnienia ich długotrwałej funkcjonalności oraz zdrowia jamy ustnej. Po zabiegu lekarz zazwyczaj udziela szczegółowych wskazówek dotyczących higieny jamy ustnej. Należy pamiętać o regularnym szczotkowaniu zębów co najmniej dwa razy dziennie oraz używaniu nici dentystycznej do czyszczenia przestrzeni międzyzębowych. Warto również rozważyć stosowanie płynów do płukania jamy ustnej zawierających składniki antybakteryjne, które mogą pomóc w utrzymaniu zdrowia dziąseł wokół implantu. Pacjenci powinni unikać twardych pokarmów przez kilka pierwszych tygodni po zabiegu oraz ograniczyć spożycie alkoholu i tytoniu, które mogą negatywnie wpływać na proces gojenia. Regularne wizyty kontrolne u stomatologa są niezbędne do monitorowania stanu zdrowia implantu oraz otaczających tkanek. Warto również zwrócić uwagę na wszelkie niepokojące objawy, takie jak ból czy obrzęk wokół implantu, które mogą wskazywać na problemy wymagające natychmiastowej interwencji medycznej.
Jakie są koszty związane z implantami zębowymi w Warszawie
Koszty związane z wszczepieniem implantów zębowych w Warszawie mogą się znacznie różnić w zależności od wielu czynników, takich jak wybrana klinika, doświadczenie lekarza oraz rodzaj użytych materiałów. Zazwyczaj cena jednego implantu oscyluje w granicach od kilku do kilkunastu tysięcy złotych, co obejmuje zarówno sam implant, jak i koronę protetyczną oraz ewentualne dodatkowe procedury chirurgiczne. Warto jednak pamiętać, że koszt całkowity może wzrosnąć w przypadku konieczności przeprowadzenia dodatkowych zabiegów przygotowawczych, takich jak przeszczepy kostne czy leczenie kanałowe. Wiele klinik oferuje różnorodne opcje finansowania leczenia, co może ułatwić dostęp do tej formy rehabilitacji stomatologicznej dla pacjentów o różnych możliwościach finansowych. Ponadto warto poszukiwać promocji lub pakietów usług oferowanych przez kliniki stomatologiczne w Warszawie, które mogą znacząco obniżyć koszty leczenia.
Jak długo trwa proces gojenia po wszczepieniu implantów w Warszawie
Proces gojenia po wszczepieniu implantów zębowych w Warszawie jest kluczowym etapem całego leczenia i może trwać od kilku tygodni do kilku miesięcy, zależnie od indywidualnych warunków anatomicznych pacjenta oraz zastosowanej metody chirurgicznej. Bezpośrednio po zabiegu pacjent może odczuwać dyskomfort lub ból w okolicy wszczepienia implantu, jednak większość osób zgłasza jedynie łagodne objawy bólowe, które można złagodzić za pomocą dostępnych środków przeciwbólowych. W ciągu pierwszych kilku dni ważne jest przestrzeganie zaleceń lekarza dotyczących diety oraz higieny jamy ustnej. Po około dwóch tygodniach następuje pierwszy etap gojenia – tkanki miękkie wokół implantu zaczynają się regenerować. Pełna integracja implantu z kością szczęki może trwać od trzech do sześciu miesięcy i jest kluczowa dla stabilności całego systemu protetycznego.
Jakie są opinie pacjentów korzystających z implantów zębowych w Warszawie
Opinie pacjentów korzystających z implantów zębowych w Warszawie są zazwyczaj pozytywne i podkreślają wiele korzyści związanych z tym rodzajem leczenia stomatologicznego. Pacjenci często zwracają uwagę na poprawę jakości życia po wszczepieniu implantów – możliwość swobodnego jedzenia ulubionych potraw bez obaw o dyskomfort czy estetykę uśmiechu to dla wielu osób kluczowy aspekt. Również trwałość implantów oraz ich naturalny wygląd są często wymieniane jako istotne zalety tego rozwiązania. Wiele osób podkreśla profesjonalizm i zaangażowanie lekarzy prowadzących zabieg oraz personelu medycznego w warszawskich klinikach stomatologicznych. Pacjenci doceniają również nowoczesne technologie wykorzystywane podczas leczenia oraz komfortowy przebieg całego procesu – od konsultacji aż po montaż korony protetycznej.





